Annual Morphology and Imaging in Congenital Heart Disease: The Key to Diagnosis and Management
Schedule
Thu, 22 Oct, 2026 at 07:00 am to Sat, 24 Oct, 2026 at 12:00 pm
UTC-05:00Location
San Antonio Marriott Riverwalk | San Antonio, TX
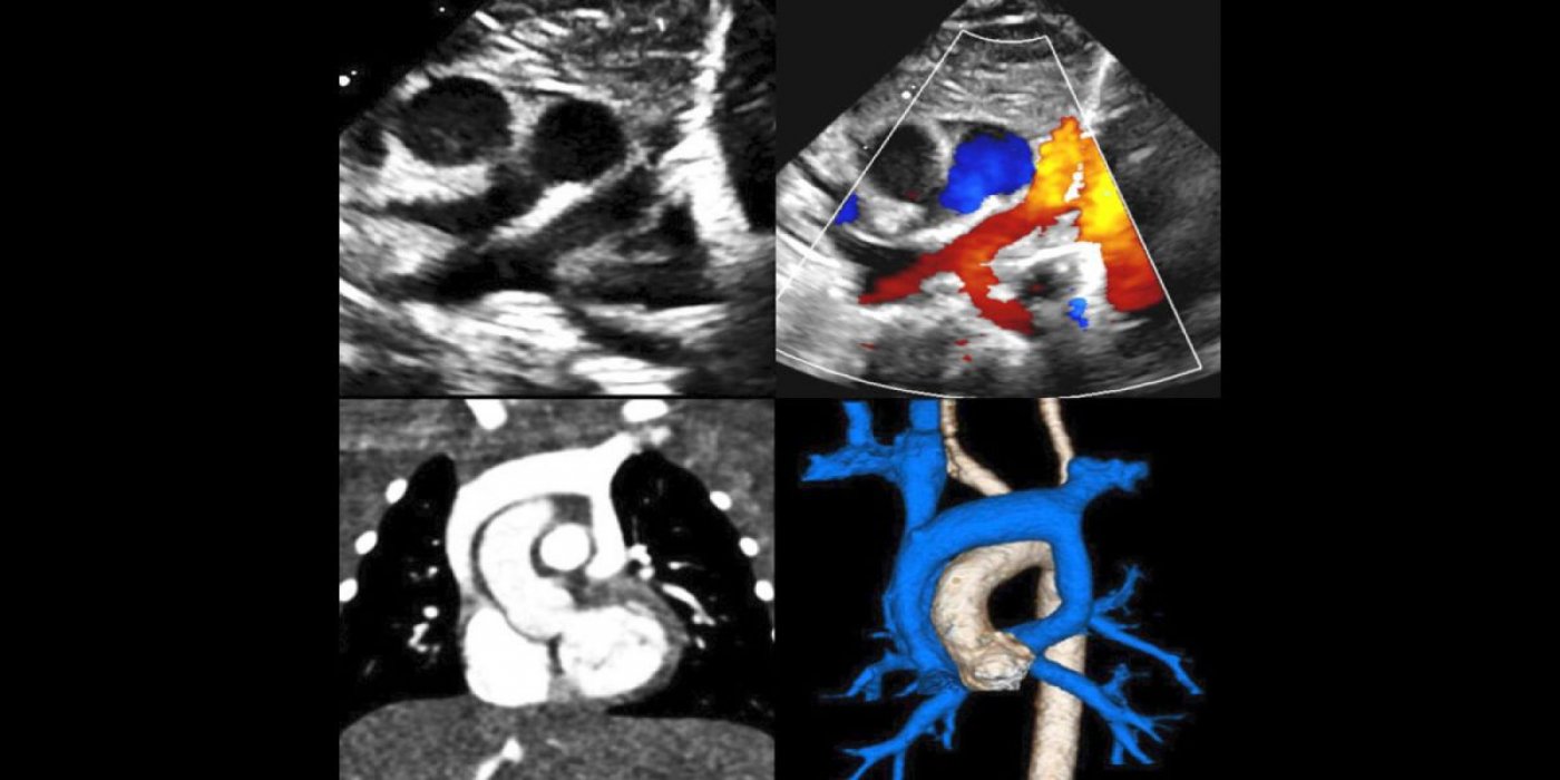
This three-day symposium is designed to provide a deeper understanding of the anatomy, clinical aspects, imaging, and management of patients with congenital heart disease. The symposium will include case discussions, didactic seminars, anatomic and imaging correlations, and discussions of multimodal imaging to illustrate the impact of cardiac imaging on treatment, diagnosis, and management of patients with congenital heart disease.
Tickets: https://go.evvnt.com/3485070-0?pid=1120
Prices:
MD, PhD, DO, PharmD: USD 785.00,
Residents, Sonographers, RN, NP, PA: USD 775.00
Category: Conferences | Science, Health and Medicine | CME (Continuing Medical Education)
Date and time: On Thu, 22 Oct 2026 07:00 to Sat, 24 Oct 2026 12:00
Where is it happening?
San Antonio Marriott Riverwalk, 889 E Market St, San Antonio, TX 78205, United StatesEvent Location & Nearby Stays:


















